Avances en el diagnóstico del Síndrome de Down

El Instituto Chipriota de Neurología y Genética, en Nicosia, Chipre, ha desarrollado un nuevo método diagnóstico, seguro y no invasivo para detectar el síndrome de Down. Los resultados del trabajo se acaban de publicar “Nature Medicine”.

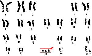
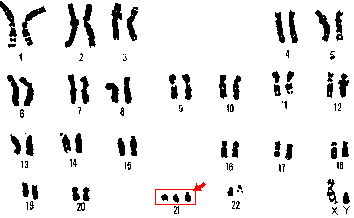
El síndrome de Down es un trastorno genético causado por la presencia de una copia extra del cromosoma 21 (o una parte del mismo), en vez de los dos habituales (trisomía del par 21), caracterizado por la presencia de un grado variable de retraso mental y unos rasgos físicos peculiares que le dan un aspecto reconocible. Según las últimas estadísticas afecta a uno de cada 700 nacimientos.

En la actualidad, para detectar la anormalidad cromosómica durante el periodo prenatal de forma inequívoca se emplean técnicas de conteo cromosómico, por lo que es necesario disponer de alguna célula fetal obtenida través de métodos invasivos.

La técnica más frecuentemente utilizada para la obtención de material genético fetal es la amniocentesis que consiste en la punción ecoguiada de la cavidad amniótica por vía abdominal.

A mediados de los 80 se comenzó a usar otra técnica, denominada biopsia de vellosidades coriónicas, en la cual se obtiene un fragmento de material placentario por vía vaginal o a través del abdomen.

Dado que ambas técnicas presentan un riesgo del 1-2% de aborto, lesión fetal, o infección materna, en los últimos años distintos grupos de investigación han investigado nuevas formas menos invasivas de evaluar la probabilidad de tener un niño con síndrome de Down u otros problemas genéticos.

Sin embargo, diferentes aspectos relacionados con el alto coste de las pruebas o la fiabilidad del sistema han provocado que no hayan sido desarrollados kits de análisis basados en estos estudios.

El estudio que hoy traemos a Scientia, dirigido por Philippos C. Patsalis, está basado en un proceso denominado “metilación del DNA”. Mediante el uso de agentes metilantes que atacan a diferentes regiones del ADN se logra distinguir entre el ácido desoxirribonucleico de la madre y el del feto al poseer patrones de metilación diferentes.

Una vez aislado el ADN fetal, y realizadas las pertinentes copias de este ADN mediante la técnica de la Reacción en cadena de la polimerasa (PCR) en tiempo real, comienza la búsqueda de posibles alteraciones cromosómicas en la estructura del ADN ya que el cromosoma 21 tiene su propio patrón de metilación.

El test se realiza extrayendo una pequeña cantidad de sangre de la madre entre las semanas 11 y 13 de su embarazo para detectar posibles copias extra del cromosoma 21 en el feto.

Cariotipo mostrando una trisomía libre del par 21

Se trata de un método rápido y fácil de llevar a cabo en un laboratorio genético, porque no requiere la necesidad ni de equipos caros ni de una infraestructura especial.

Lo más significativo es que se trata del primer test que ha demostrado tener una sensibilidad y especificidad del 100% en todas las gestaciones normales y con trisomía del 21 que se han estudiado con el nuevo método.

Según el estudio chipriota, el siguiente paso en la investigación es la realización de ensayos clínicos con un elevado número de pacientes embarazadas para asegurar la precisión del método. Si todo va bien se espera que en dos años el método pueda ser utilizado, de forma rutinaria, en clínicas y hospitales.

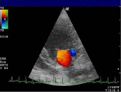
Eco-Doppler demostrando insuficiencia mitral que puede aparecer precozmente en personas con SD

A pesar de que el estudio es absolutamente innovador, quizás el más prometedor de los últimos años, declaraciones como las del genetista Joris Vermeesch de la Universidad de Lovaina, que define el estudio como “El Santo Grial del diagnóstico prenatal” tienen que ponerse en cuarentena.

Varios han sido los estudios anteriores en este campo que, aunque han servido de modelo a la presente investigación, no llegaron nunca a traducirse en métodos oficiales. Como dijo Thomas Macaulay, historiador, ensayista y poeta inglés, “La ciencia avanza a pasos, no a saltos”.

Por último, una reflexión personal.

En el año 2004 tuve el placer de dirigir la Tesis Doctoral “Metodología de intervención nutricional en un colectivo especial. Personas con Síndrome de Down». Y digo placer porque el contacto con este colectivo te enseña a ver el mundo de otra manera. Es cierto que puede parecer un tópico, y que luego todos volvemos a nuestra rutina diaria donde olvidamos lo aprendido de estas experiencias, pero en el caso de las personas con Síndrome de Down, el trabajar a su lado te deja huella.

De todas formas, y aunque los afectados por este síndrome deben ser el foco de atención de futuras investigaciones, no debemos olvidarnos de dos grupos que viven en primera persona la dura situación: los profesionales que cuidan de ellos y, sobre todo, la familia. Por su situación especial ellos necesitan, al menos, el mismo cariño, comprensión y sensibilidad que las personas con Síndrome de Down.

Jose

Fuentes:
Nature Medicine. Fetal-specific DNA methylation ratio permits noninvasive prenatal diagnosis of trisomy 21. doi:10.1038/nm.2312. 2011.

Esta entrada fue publicada en Medicina y etiquetada . Guarda el enlace permanente.

4 Responses to Avances en el diagnóstico del Síndrome de Down

  1. Pingback: Scientia: 1 año, 100 post | SCIENTIA

  2. Avatar de PATRICIA GABRIELA SANTOS CARRILLO PATRICIA GABRIELA SANTOS CARRILLO dice:

    para mi es muy importante todo lo que aprende leyendo atravez de la pagina yo en diciembre del pasado ano cuando nacio mi BEBA CON SINDROME DE DAWN

  3. Avatar de PATRICIA GABRIELA SANTOS CARRILLO PATRICIA GABRIELA SANTOS CARRILLO dice:

    ESPERO SIGAN DANDO INFORMACION PARA NOSOTROS LOS PADRES MUCHAS VECES DESORIENTADOS COMO YO QUE DIA A DIA APRENDO ALGO DE USTEDES GRACIAS

  4. Avatar de maría de la soledad Picarzo Cano maría de la soledad Picarzo Cano dice:

    Me parece muy bien que las pruebas sean menos invasivas ¿Pero para qué se hacen esas pruebas? ¿Cuál es su verdadera finalidad? ¿Poder abortar si el bebé viene con el síndrome y ganar mucho dinero algunos laboratorios y médicos? ¡Qué pena que no se investigue más intensamente la línea del doctor Jerome Lejeune, para erradicar el síndrome y no para matar a los niños que vienen con él, que son ángeles sin alas y la felicidad de la familia en donde nacen! Y no para quitarles la vida antes de nacer. El prestigioso doctor Jerome, Lejeune, al que le iban a dar el premio Nobel de medicina, lo perdió, así como todos los patrocinios, para su investigación, y le condenaron al silencio y olvido porque se opuso al aborto de los niños afectados por él, con toda la fuerza y verdad de sus conocimientos. Es terrible que el valor del dinero prime sobre el valor de la vida. María de la Soledad Picarzo

Deja un comentario