En el cuerpo humano existen infinidad de proteínas cuya función es total o parcialmente desconocida… y este es un tema que me fascina. Por ello he elegido el descubrimiento de una importantísima propiedad de la proteína AIRAPL para inaugurar la serie “Proteínas del siglo XXI”. ¿A qué propiedad me refiero? Tranquilos, que estamos en Scientia y aquí las cosas hay que tomárselas con calma. Lo primero que haré será presentarles a AIRAPL.

AIRAPL (Fuente: Protein Data Bank)
En el Protein Data Bank, una base de datos donde se puede ver la estructura tridimensional de proteínas y ácidos nucleicos, he encontrado una imagen de esta proteína que ha sido detectada en humanos, ratas, ratones, la mosca del vinagre (Drosophila melanogaster) o el nemátodo C. elegans. Como se observa «claramente» AIRAPL es del Barca (lo demuestran sus largas cadenas aminoacídicas azul granas), tiene cara “happy” según mi hija (con dos ojos que, como veremos, son dos átomos de un metal) y un flequillo verde (hélice alfa) al estilo Gremli.
AIRAPL, pertenece al grupo de las proteínas unidas a metales o metalproteinas, término genérico que se le asigna a las proteínas que contienen un ion metálico como cofactor. La presencia de los iones metálicos en las metaloenzimas les permite llevar a cabo funciones que no pueden ser fácilmente realizadas por los grupos funcionales que habitualmente se encuentran en los aminoácidos.
¿Y cuál es el metal presente en AIRAPL ? Uno de mis preferidos, el zinc. De hecho esta proteína presenta en su estructura los famosos dedos de zinc, pequeños motivos estructurales de proteínas que pueden coordinar uno o más iones de zinc para ayudar a estabilizar sus pliegues. Los dedos de zinc coordinan iones de este metal con una combinación de residuos de cisteína e histidina. Además, AIRAPL también presenta motivos de unión con ubiquitina que, como les contaré a continuación, tienen un papel fundamental.
Ya conocemos estructuralmente a AIRALP pero… ¿qué significan esas 7 letras? En realidad son las iniciales de “Arsenite-inducible RNA-associated protein-like protein”. ¿Arsénico? ¿Pero qué tiene que ver el arsénico con esta proteína? Veamos.
El ser humano está expuesto a diferentes compuestos que presentan toxicidad a determinadas concentraciones. Uno de ellos es el arsénico, elemento capaz de dañar diferentes proteínas de nuestro organismo. Para reparar dichos daños las células activan un sistema de defensa basado en varias vías que “arregla” las alteraciones causadas por el arsénico. Una de estas vías es la formación de proteínas que reparan estos daños. Un ejemplo es AIRALP. ¿Y cómo hace esta proteína para reparar los daños provocados por el arsénico? Con la ayuda de la ubiquitina.
La ubiquitina es una pequeña proteína reguladora que ha sido encontrada en la mayoría de los tejidos de los organismos eucariotas. Una de sus muchas funciones es dirigir el reciclaje de proteínas. La ubiquitina puede asociarse a proteínas y marcarlas para su destrucción. El marcaje de ubiquitina dirige las proteínas al proteosoma, que es un gran complejo de proteínas que encontramos en la célula y que degrada y recicla proteínas innecesarias. Este mecanismo, cuyo descubrimiento otorgó el premio Nobel en química en 2004 a Aaron Ciechanover, Avram Hershko e Irwin Rose, es el que emplea AIRALP para reparar los daños producidos en varias proteínas por la exposición a arsénico.

Una vez que les he presentado formalmente a AIRAPL llega el momento de mostrarles cuál es la propiedad que se le acaba de descubrir a esta proteína y que, en mi modesta opinión, puede tener una enorme transcendencia en el futuro. Atentos.
Un grupo de investigadores españoles, liderados por el catedrático de Bioquímica y Biología Molecular de la Universidad de Oviedo Carlos López-Otín, ha demostrado que esta proteína actúa de «freno” evitando la proliferación celular descontrolada que da lugar a diversos cánceres. En un estudio publicado en la revista Nature Science titulado “Loss of the proteostasis factor AIRAPL causes myeloid transformation by deregulating IGF-1 signaling” se muestra como la presencia de la proteína AIRAPL regula la ruta molecular del factor de crecimiento IGF-1, implicado tanto en procesos tumorales como en envejecimiento.

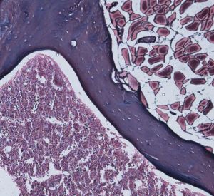
Médula ósea de ratones deficientes en la proteína AIRAPL
Concretamente el equipo de científicos españoles ha descubierto que la deficiencia de la proteína AIRAPL favorece que se desarrollen síndromes mieloproliferativos, un tipo de cáncer hematológico frecuente en personas mayores (similar a la leucemia pero menos agresivo y más cronificado). Este tipo de tumores de la sangre se caracterizan porque la médula ósea comienza a fabricar progresivamente más y más glóbulos blancos de forma hasta que lo hace en tal cantidad que, de alguna manera, se bloquea. Suelen ser enfermedades de curso lento y frecuentes en la población anciana.
Para lograr sus resultados los científicos emplearon ratones modificados genéticamente (sí, es necesario para el progreso científico hacer estudios con animales y modificar su genoma) a los que se les anuló desde el nacimiento la proteína AIRAPL. Para anularla se empleó una de la técnicas más valiosas en biotecnología: el Knock-out. En un próximo post hablaremos de ella pero en este enlace tienen información acerca del knock-out. ¿Y qué ocurrió al anular AIRALP en los ratones? Que inmediatamente los animales desarrollaron un tipo de tumor hematopoyético, lo que confirmaba el papel de AIRAPL para frenar estos cánceres.
Una de las grandes particularidades de este descubrimiento es que no es habitual que una sola proteína inactiva esté detrás del origen de un cáncer ya que habitualmente en el origen de un tumor siempre hay una mutación genética que permite a las células perder su orden habitual y multiplicarse sin control. En este caso no hay mutación genética sino inactivación proteica lo que demuestra que se pueden generar tumores alterando la estabilidad de las proteínas sin necesidad de que las células acumulen mutaciones en su genoma. En este vídeo los investigadores lo explican perfectamente.
Bien. Ya se sabe lo que provoca la deficiencia de esta proteína pero… ¿qué utilidad práctica puede tener este descubrimiento además de la generación del conocimiento? Mucha. Los resultados obtenidos abren una nueva vía para combatir estas enfermedades. De hecho el grupo de investigación del profesor López-Otin ha propuesto un nuevo tratamiento para los síndromes mieloproliferativos que ya ha sido probado con éxito en modelos de ratón y en muestras humanas en laboratorio.
En primer lugar los científicos administraron a ratones deficientes en la proteína AIRAPL diversos fármacos (inhibidores del receptor de IGF-1) que trataban de reactivar la actividad perdida de AIRAPL. ¿Y qué ocurrió? Que se revirtieron las alteraciones hematológicas.
Fantástico, pero… ¿Y qué pasó cuando se usaron muestras humanas? Algo muy similar. Para comprobar si en humanos la AIRAPL también está “desactivada” en síndromes mielodisplásicos, los investigadores analizaron biopsias y sangre periférica de más de 100 pacientes con un tumor sanguíneo de este tipo. Los resultados fueron contundentes: en todos ellos la proteína AIRAPL estaba inactiva, mientras que en la médula de personas sanas la misma proteína tiene una expresión muy alta. Estaba claro: la proteína AIRAPL actúa de freno de IGF-1, ayuda a que no se descontrole.

¿Y ahora qué toca? Seguir investigando para poder en un futuro desarrollar fármacos que sean capaces de “activar” la proteína AIRAPL en aquellas personas que hayan desarrollado cualquier tipo de cánceres u otras patologías derivadas de la inactivación de esta proteína. Fascinante.
Por si faltaba poco los resultados del estudio publicado en Nature Science profundizan una vez más en la cada vez mejor conocida relación entre cáncer y envejecimiento, ya que la ruta de señalización IGF-1 (alterada en los ratones con la proteína AIRAPL desactivada) es también clave en el control del envejecimiento y la longevidad de las especies. Los resultados demuestran que «estas alteraciones pueden desencadenar el envejecimiento acelerado (poca actividad IGF-1) o cáncer (mucha actividad IGF-1), según la actividad de reguladores celulares clave como AIRAPL.
Estimados lectores, estamos en el año 2016 y se acaba de descubrir una nueva función de una proteína presente en el cuerpo humano. AIRAPL era hasta ahora era una gran desconocida pero ha cobrado un súbito protagonismo en el origen de enfermedades tan habituales. ¿De verdad creen que la ciencia lo ha descubierto todo ya? Esto acaba de empezar…
Jose
NOTA: Pueden ayudarme a difundir este post pinchando en este enlace. GRACIAS.



muy buen articulo! pero que sepas que en vez del enlace al video, has puesto una captura de pantalla. se me quedo cara de bobo al clickar y no pasar nada xD.
Enviado desde mi iPad Yolanda Arrabal
Pingback: ¿Puede la inactivación de una sola proteína provocar cáncer?
Buen post! Me gusta mucho esta serie! Las proteinas son una pasada…!
Gracias, Jose, transmites emociones y ciencia al unísono.
Pingback: ¿Puede la inactivación de una sol...
Pingback: Proteínas del siglo XXI | SCIENTIA
Hola estoy interesada en saber porque se pone como logaritmo negativo el valor del pH de las sustancias pues no lo comprendo .